2020-06-19 08:53:05
两周前,29岁的刘先生体检,竟然发现“双肾错构瘤”,尤其以右侧为甚,将近8公分大。刘先生担心之余,通过网络了解到相关资料,和家人商量后决定来湘雅常德泌尿外科进一步检查和治疗。
门诊陈旭东副主任医师接诊并介绍:肾错构瘤是一种较常见的肾良性肿瘤,也称为肾血管平滑肌脂肪瘤。顾名思义,其内部成分复杂且血管丰富。无症状患者常常于体检才发现,多数体积较小(<4cm),可继续观察。但是如果肿瘤逐渐增大,且血管畸形呈瘤状,那就像一个“定时炸弹”,很容易自发性破裂而出现腹痛、血尿等症状,甚至失血性休克。因此,像刘先生这么大的错构瘤是需要住院的,可以尝试微创手术切除错构瘤。

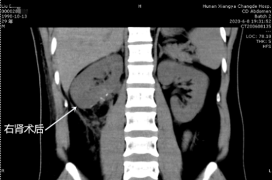
刘先生选择入院后,蒋欣杰副主任医师及其肿瘤性团队很快安排了增强CT等检查,并运用最近先进的3D打印技术,完全复原了肿瘤和血管等,术前围绕潜在风险进行充分讨论,并制定了周密的应急预案,麻醉科及输血科也随时准备,为手术定位保驾护航。接下来的手术中,蒋欣杰医师运用腹腔镜技术,“抽丝剥茧”般的细致耐心,完美切除右肾错构瘤,无周围副损伤,拆除“炸弹”的同时保护好了右肾;术后复查CT,右肾几乎恢复到正常。

术中

术后
据蒋欣杰副主任医师介绍:该患者右肾错构瘤巨大,与肾动静脉及输尿管关系密切,稍有不慎就可能损伤。因此切除过程中,必须仔细游离、精准切除,做到极限保肾。目前,患者恢复良好并顺利出院,但要患者定期复查,预防肿瘤复发。
编辑:胡泽涛
责编:胡卫锋
急诊电话:0736-2120120
预约挂号:0736-2120000
咨询电话:0736-2120210
健康体检:0736-2120381
(急诊电话24小时在线、其余电话工作时间在线)