2020-06-22 15:04:54
近日,湘雅常德医院泌尿外科肿瘤组医师团队在全麻下为一例复杂肾上腺肿瘤患者成功实施经腹入路腹腔镜下左侧腹膜后巨大病损切除术。本例手术的成功,得益于充分的术前准备、正确的分离层面、娴熟的腹腔镜操作技能以及手术医师与麻醉医师的密切配合,克服了肿瘤巨大、与多根重要血管黏连一系列的困难,成为腹腔镜代替开放式的一次经典微创手术。
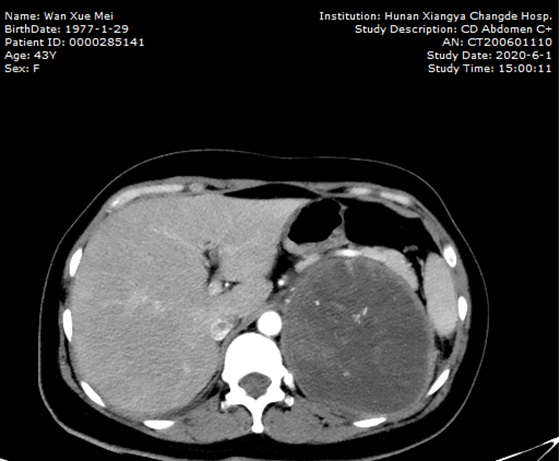
43岁的万女士因左侧腰腹痛1年,加重伴发热,慕名来到湘雅常德医院泌尿外科就诊。万女士曾经有过两次剖宫产经历,入院后完善相关辅助检查后显示:左侧肾上腺区有一个巨型肿瘤。那么,这也就意味着左侧肾上腺恶性病变的可能性极大,且极有可能导致皮质癌。术前经过科室讨论及与患者充分沟通后,泌尿外科团队决定为其实施“经腹入路腹腔镜下左侧腹膜后巨大病损切除术”。


术前
手术在泌尿外科主任顿金庚教授的指导下,由蒋欣杰教授肿瘤组团队进行手术。术中腹腔镜下见左侧肾上腺巨大肿块,肿块直径长达14厘米,表面血管丰富,与胰腺、脾脏、左侧肾蒂血管非常密切,其难点在于肾静脉和肾动脉及胰腺之间的处理,且患者术中血压波动较大。最高血压达230/130mmHg,最低低血压达68/34mmHg,心率最高达199次/分,以触碰瘤体为甚,经过复杂而繁琐的腹腔镜下的游离操作后,终于顺利切除巨大肿瘤,术毕经pacu苏醒返回病房。目前,患者术后各项身体机能恢复良好。

术中

左侧肾上腺巨大肿块直径长达14厘米
据顿金庚教授介绍,肾上腺肿瘤因早期症状不明显,往往被发现时体积已较大,并对周围脏器及大血管形成压迫或侵染,手术切除难度及风险较大,需很高的术中游离技巧。而腹腔镜手术是贴着血管进行,切除病灶更加彻底,手术根治性效果更好,减少术后并发症,但对术者的要求更高,因为需要借助器械来间接操作。
我院泌尿外科肿瘤组在蒋欣杰教授的带领下,提倡腹腔镜微创,腹腔镜无孔不入,微创术后更为美观,根据肿瘤局部解剖情况,在保证手术切除效果的原则下,选择微创手术方式,现已完成多例高难度复杂腹膜后肿瘤微创手术。
有感兴趣者可以点击或复制下方网址链接进行观看
经腹入路左侧肾上腺巨大肿瘤切除术视频:
http://m.cug.top/video/detail/1383?from=singlemessage
编辑:周雨霏
责编:胡卫锋
急诊电话:0736-2120120
预约挂号:0736-2120000
咨询电话:0736-2120210
健康体检:0736-2120381
(急诊电话24小时在线、其余电话工作时间在线)