欢迎来到湘雅常德医院官网!
  • 微信公众号

  • 支付宝二维码

  • 云闪付二维码

科室导航
信息动态
您现在的位置: 首页>>科室导航>>临床科室>>风湿免疫科>>信息动态
  • TIME:2021-08-02

        邱小妹(化名)17岁时就被诊断出患有“系统性红斑狼疮”,在湘雅医院经过积极治疗后逐渐好转,病情控制的十分稳定。随着爱情之花的盛开,邱小妹结识了另一半,步入了幸福的婚姻殿堂。婚后,...

  • TIME:2021-07-30

      32岁的向先生,最近半年发现脖子不能左右转动,腰也不能弯,体重减轻了近10公斤。向先生说,自己30岁时就开始腰痛,一开始以为是“腰椎间盘突出”,自己吃药、贴膏药也时好时坏,后面经推荐吃了段时...

  • TIME:2021-07-29

         为推进“以患者为中心”的优质护理服务深入开展,提升科室护士专科疾病相关知识健康宣教能力,7月28日下午,湘雅常德医院风湿免疫科在科室示教室举办以“讲科普、促健康”为主题的...

  • TIME:2021-07-23

        为进一步深化优质护理服务内涵,提升患者满意度,7月22日,风湿免疫科根据科教办与护理部的实习生轮科进度安排,组织实习同学与带教老师共同开展住院患者健康教育讲座。本次讲座由风湿...

  • TIME:2021-07-12

        炎炎夏季,不少人因为贪凉而感冒、发烧、流鼻涕。今年50岁的管女士,平时身体一直挺好,但上次工作劳累后突然开始发烧并伴有寒颤。管女士一开始以为只是简单的“感冒”了,但吃了感冒药也不...

  • TIME:2021-06-04

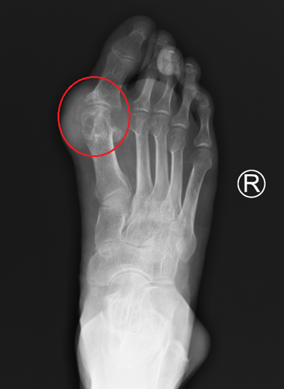
        25岁年轻小伙杨某,本该是青春恣意的年纪,最近却饱受关节痛的折磨。自他15岁起关节肿痛彻底改变了他的生活。刚开始只是两只脚的大拇指又红又肿,摸上去特别烫,还非常疼痛,像有人拿刀...

首页 上一页 56789 下一页 尾页

急诊电话:0736-2120120
预约挂号:0736-2120000
咨询电话:0736-2120210
健康体检:0736-2120381
(急诊电话24小时在线、其余电话工作时间在线)

地址:常德市武陵区朗州北路西侧月亮大道

Copyright 2017 - 2018 湘雅常德医院 All Rights Reserved 湘ICP备18010108号

Designed by Wanhu

工业和信息化部ICP/IP地址/域名信息备案管理系统