欢迎来到湘雅常德医院官网!
  • 微信公众号

  • 支付宝二维码

  • 云闪付二维码

科室导航
信息动态
您现在的位置: 首页>>科室导航>>临床科室>>骨科>>信息动态
  • TIME:2019-01-23

        腰椎间盘突出症是目前较为常见的疾患之一,特别是困扰着不少中老年人。随着现代人生活习惯的改变,腰椎间盘突出症发病率越来越呈年轻化趋势。由于大多数患者缺乏相关知识,未能引起足够...

  • TIME:2018-11-20

    值湘雅常德医院建院周年之际,11月17日下午,湘雅常德医院骨科联合中南大学湘雅医院各骨科专家在湘雅常德医院骨科示教室举办周年庆系列大型活动——骨科学术沙龙。此次学术沙龙交流的内容涵盖关节、脊...

  • TIME:2018-10-12

        为响应国家优质医疗资源下沉的政策,提升泛湘西北地区医疗卫生服务水平,推动医疗卫生事业加快发展,10月11日下午,湘雅常德医院第三党支部骨科、泌尿外科、普外科组成的公益性医疗队赴...

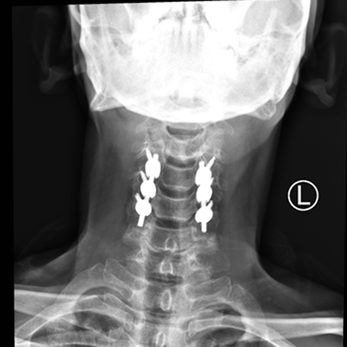
  • TIME:2018-09-20

        近日,湘雅常德医院骨科收治了一名“颈部脊髓损伤伴四肢不全瘫”的外伤患者,并顺利完成手术,使患者瘫痪症状得以恢复。    2018年6月30日下午,家住桃源县63岁的曾大叔在工地...

  • TIME:2018-09-11

        为响应国家健康扶贫政策,践行新卫生工作方针,落实优质医疗资源下沉政策,更好地为常德泛湘西北地区老百姓服务,9月10日,湘雅常德医院骨科赴安乡县人民医院开展“医学联盟及医带一路”...

  • TIME:2018-08-17

        7月6日,湘雅常德医院骨科来了一位“左手食指末节不完全离断伤”的5岁小男孩,经患儿爷爷所述,患儿4天前在家玩砍柴刀时不慎切到左手食指第一指关节,当时鲜血飞贱,骨头已经切断,仅有少...

首页 上一页 1213141516 下一页 尾页

急诊电话:0736-2120120
预约挂号:0736-2120000
咨询电话:0736-2120210
健康体检:0736-2120381
(急诊电话24小时在线、其余电话工作时间在线)

地址:常德市武陵区朗州北路西侧月亮大道

Copyright 2017 - 2018 湘雅常德医院 All Rights Reserved 湘ICP备18010108号

Designed by Wanhu

工业和信息化部ICP/IP地址/域名信息备案管理系统