湖南日报·新湖南客户端3月17日讯(通讯员 金惠 王穗源)近日,湘雅常德医院骨科为一因车祸导致左臂丛神经损伤患者成功实施臂丛神经损伤功能重建术,通过神经束支移位顺利为患者重建肩胛上神经、肌皮...
湖南日报·新湖南客户端3月12日讯(通讯员 唐俊雅 记者 李杰)亲朋好友相聚,免不了喝酒。醉酒后,误吞下一根牙签,至今让常德市武陵区市民李先生心有余悸。 两周前,将一根牙签吞入腹中,李先生当时并无...
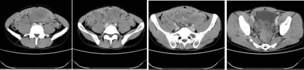
湖南日报·新湖南客户端 通讯员 刘兰 2020年3月,年仅32岁的小李第一次踏入湘雅常德医院肿瘤科门诊。 身材消瘦,165cm的身高体重仅50kg,下腹部可以摸到5*6cm大小的活动性肿块。这是小李留给湘雅常德...
湖南日报·新湖南客户端2月25日讯(通讯员 唐俊雅)近日,51岁的卓先生却因反复便血、严重贫血辗转多家医院治疗未见好转,于2月6日转入湘雅常德医院消化内科。入院时血红蛋白仅49g/l,几乎丢失了全身三...
湖南日报·新湖南客户端2月22日讯(通讯员 林红 腾燕妮)近日,在湘雅常德医院妇科病房内,即将出院的汤女士特地将一面锦旗送到梁丽凌主任及医护人员的手中说道:“感谢你们第一时间收治了我,给我最少...
常德日报记者 郭学薇 通讯员 罗思妮 向开旺 文/图 近日,家住常德津市的马女士怎么也没想到会因为一个“小感冒”,病情危重住进了ICU(重症监护室)。原来,她患上了罕见的“鹦鹉热”。所...
急诊电话:0736-2120120
预约挂号:0736-2120000
咨询电话:0736-2120210
健康体检:0736-2120381
(急诊电话24小时在线、其余电话工作时间在线)