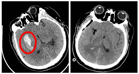
高速上突发脑出血会怎么样?近日,一位河北货车司机在常德境内就遇到了这样危急的状况,在发生轻微的交通事故后,高速交警察觉司机口齿不清,意识模糊,一度生命垂危...... &nb...
春节期间,湘雅常德医院的急救通道依然保持24小时畅通,急诊科24小时接诊,医技检查与各类手术均正常运行。全体工作人员一如既往地坚守岗位,确保全院医疗秩序的安全有效,为市民度过祥...
1月28日,除夕夜, 万家灯火,阖家团圆之夜,湘雅常德医院的医护人员为了病人的健康和安危,舍小家为大家,坚守在工作岗位上,用辛劳的汗水无私地奉献在救死扶伤的第一线。晚上7:00,常德...
1月23日,常德市副市长周代惠,市人民政府副秘书长喻文飞,市卫健委党组书记、主任李芳,市卫健委党组成员、副主任周文一行,在湘雅常德医院党委书记李波,院长肖目张的陪同下,看望...
1月21日晚,湘雅常德医院在行政楼912会议室召开专家咨询指导委员会2025年第一次会议,全体院领导、全体专家咨询指导委员会委员及相关职能科室负责人参加了此次会议。会议由院长肖目...
为深入学习贯彻落实习近平法治思想,进一步加强医院法治建设,切实提升职工法律意识,使其更好地知法、懂法、守法、用法,1月21日,湘雅常德医院特邀请常德市鼎城区人民法院法官鲁进在学...
急诊电话:0736-2120120
预约挂号:0736-2120000
咨询电话:0736-2120210
健康体检:0736-2120381
(急诊电话24小时在线、其余电话工作时间在线)