欢迎来到湘雅常德医院官网!
  • 微信公众号

  • 支付宝二维码

  • 云闪付二维码

医院新闻
医院快讯
您现在的位置:首页>>医院新闻>>医院快讯
  • TIME:2018-06-01

        为庆祝六一儿童节的到来,湘雅常德医院儿科在曹励之主任的提议下,范庆辉护士长带领三病室医护人员举办了为住院患儿“庆六一、送祝福”的活动,旨在为生病住院的小朋友们欢庆六一儿童节...

  • TIME:2018-06-01

    5月30日下午,湘雅常德医院健康管理中心受邀赴常德市紫菱小学,朱维老师、向薇老师、李敏医生一行为教师们举办了一堂实用有效的养生知识讲座,当天吸引了40余名教师到场聆听学习。讲座现场 “一只...

  • TIME:2018-06-01

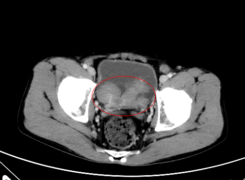
        今年47岁的罗大哥,在两年前出现“血尿”的情况,据罗大哥自诉当时小便末端几滴尿液呈“西瓜汁”状,有时会出现麦片大小的干血块,这种情况时有发生。    罗大哥便去当地医院肾内...

  • TIME:2018-05-31

        今年74岁的王阿姨,八年前双膝关节开始疼痛,因家住乡镇,怕麻烦的王阿姨就没有去医院治疗,自行找了不少偏方,但收效甚微。    一年前双膝关节疼痛加重,以左侧尤为明显,不能...

  • TIME:2018-05-31

        5月28日,湘雅常德医院急诊科主任何青春副教授受邀前往常德市卫计委开展应急急救知识讲座。常德市卫计委党委副书记、副主任陈寿林,副主任曹学美,副主任张业新等领导出席讲座。  ...

  • TIME:2018-05-30

        2018年5月29日晚,湘雅常德医院2018年“静疗规范季”启动仪式在学术报告厅举行,此次“静疗规范季”活动以“规范静脉治疗,保障患者安全”为主题,旨在规范我院静脉治疗操作技术,减少输液并...

首页 上一页 432433434435436 下一页 尾页 共有 475

急诊电话:0736-2120120
预约挂号:0736-2120000
咨询电话:0736-2120210
健康体检:0736-2120381
(急诊电话24小时在线、其余电话工作时间在线)

地址:常德市武陵区朗州北路西侧月亮大道

Copyright 2017 - 2018 湘雅常德医院 All Rights Reserved 湘ICP备18010108号

Designed by Wanhu

工业和信息化部ICP/IP地址/域名信息备案管理系统