2019.04.15-2019.04.21是第25届全国肿瘤防治宣传周,4月18日,湘雅常德医院肿瘤科开展了以“早预防,早发现,早治疗”为主题的病友会。 活动中,肿瘤科护师邱琴结合科室好发...
湘雅常德医院肿瘤科39名医技护工作人员,就是这样一群开拓者,2018年,肿瘤科在钟美佐主任的带领下,团结一致、竭诚合作、刻苦钻研、迎难而上,在与肿瘤的抗争这场拉锯赛中,为肿瘤患者披荆...
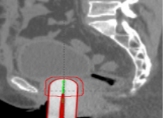
2019年1月8日,湘雅常德医院肿瘤科放射治疗中心成功实施常德市首例三维近距离后装治疗,这给常德及湘西北地区的宫颈癌患者带来了一丝曙光。家住常德武陵区的杨大...
64岁的林大叔左上肢有一肿块,被诊断为皮肤汗腺癌切除后来到湘雅常德医院肿瘤科就诊。在钟美佐主任的带领下,医生团队多次对其病情进行了讨论和评估,考虑到皮肤汗腺癌是一种罕见的具...
2108年9月14日上午,由湘雅常德医院主办,华人医学物理师交流平台承办的第一届美籍华人医学物理师中国巡讲常德站活动,在湘雅常德医院肿瘤科示教室顺利召开。本次活动得到国际医学物理组织(IOMP)的支...
近日,湘雅常德医院放疗中心有患者向医技人员问道:“医生,我放疗的地方皮肤变黑,脱皮很严重,这是怎么了?”患者的颈部区域都是红斑和脱落的皮肤。 这是放射性皮炎,因为最...
急诊电话:0736-2120120
预约挂号:0736-2120000
咨询电话:0736-2120210
健康体检:0736-2120381
(急诊电话24小时在线、其余电话工作时间在线)