癌症(恶性肿瘤)是一类严重危害生命健康的慢性疾病。据最新统计数据显示,癌症死亡占居民全部死因的23.91%。2015年,我国癌症发病人数约392.9万人,死亡约233.8万人,平均每天超过...
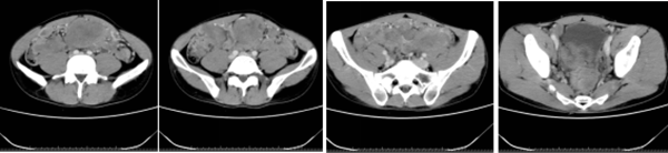
2020年3月,年仅32岁的小李第一次踏入湘雅常德医院肿瘤科门诊。小李给人的第一印象就是:身材消瘦,165cm的身高体重仅50kg,下腹部可以摸到5*6cm大小的活动性肿块。腹部CT可见腹腔内多发...
近日,由中国红十字基金会发起的“医路相伴 因爱而行——专家进基层患者关爱项目”(常德站)在湘雅常德医院举行,来自中南大学湘雅医院、湖南省肿瘤医院、湖南省妇幼保健院的多名专家教授在...
近日,湖南省抗癌协会淋巴瘤专业委员会青年委员成立大会及暨第一次全体委员会在长沙顺利召开。此次会议聚焦了血液肿瘤的基础研究、临床诊治、治疗进展的热点问题,邀请省内外青年学者从...
近日,湖南省肿瘤医院知名专家杨农教授、刘利教授团队应邀参加学术讨论与交流活动。此次活动由肿瘤科主任钟美佐教授与杨农教授共同主持. 活动当天,钟美佐教授对杨教授...
为进一步提高肿瘤科医生的癌痛规范化治疗水平,让更多的肿瘤疼痛患者获得更好的生活质量,10月23日至24日,由常德市医学会肿瘤学专业委员会及常德市抗癌协会主办的常德市肿瘤...
急诊电话:0736-2120120
预约挂号:0736-2120000
咨询电话:0736-2120210
健康体检:0736-2120381
(急诊电话24小时在线、其余电话工作时间在线)