近日,湘雅常德医院普通外科与泌尿外科联合协作为一位94岁超高龄直肠癌、膀胱癌的老年患者成功实施腹腔镜下辅助膀胱癌根治术+腔镜下辅助直肠癌根治术。目前,患者术后恢复良好...
“感谢肖广发教授带领的普外科团队,让我如释重负,重获新生!”患者在出院前感慨地说。近日,湘雅常德医院普外科肝胆胰专业团队成功为一名8旬老汉切除重达10公斤的巨大胃间质瘤! ...
近日,23岁的许女士在体检时经彩超发现甲状腺左侧叶结节。得知病情后,许女士感到十分焦虑,担心结节会进一步增大,但又不愿意接受手术带来颈部疤痕的结果。 通过...
7月11日下午,湘雅常德医院普外科召开首个作为项目分中心参研、由研究者发起的药物研究——“生活方式干预下,联合或不联合胆宁片治疗胆囊息肉样病变的随机、开放、对照、多中心临床试验”...
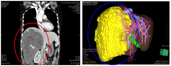
肝血管瘤是常见的肝脏良性肿瘤,多半没有症状,一般无需特殊治疗。近日,湘雅常德医院普外科一区(肝胆胰外科)接诊了一名反复发热合并贫血的巨型肝血管瘤患者,切除肝血管瘤直径...
近日,湘雅常德医院普外科乳甲团队在肖广发主任的带领下成功实施首例完全经口腔前庭腔镜甲状腺癌根治术。该手术的开展,标志着我院在甲状腺的微创治疗有了新的突破,在甲状腺微创手术...
急诊电话:0736-2120120
预约挂号:0736-2120000
咨询电话:0736-2120210
健康体检:0736-2120381
(急诊电话24小时在线、其余电话工作时间在线)