欢迎来到湘雅常德医院官网!
  • 微信公众号

  • 支付宝二维码

  • 云闪付二维码

科室导航
信息动态
您现在的位置: 首页>>科室导航>>临床科室>>口腔科>>信息动态
  • TIME:2021-03-30

         为进一步满足患者舒适化口腔治疗,提高医护配合的熟练度,口腔科主任伍栋组织制定了详细的科内培训计划,要求每一位医师针对不同的口腔亚专科进行理论知识和实操的课程准备,最...

  • TIME:2021-01-26

         近日,我院口腔科伍栋副主任医师团队再次为一名患者完成数字化精准种植即刻修复负荷固定义齿技术,实现了患者“当天种牙、当天吃肉”的愿望。据悉,此项种植技术是我院口腔科成功...

  • TIME:2020-10-20

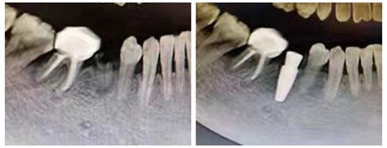
    随着人们对牙齿的保护意识日益提升,医学技术的发达已经能够很好地解决牙缺失的难题,特别是数字化种植牙技术凭借着精准、快速、即种即用的优势成功帮助患者立长“新牙”。 术前CBCT显示牙根折断 湛女...

  • TIME:2020-10-09

    口腔癌复发,2月疯长占满左半脸。湘雅常德医院口腔颌面外科专家结合穿支皮瓣技术,为患者郭先生彻底切除了巨大肿瘤并摘除左眼,修复了面部近20×15厘米的巨大洞穿性创面,郭先生“大变脸”重获新生。 肿...

  • TIME:2020-01-09

    年关将至,大快朵颐之时,易大姐却只能望而止步,为何?“我的这颗牙,这颗,还有这颗……都是坏牙,现在疼的不得了,还有我这右下方有一颗牙齿只剩残根了,经常发炎,真的是苦不堪言。”易大姐不停地给口腔科...

  • TIME:2019-08-30

    近日,湘雅常德医院口腔科接诊了一位8岁的小患者小文。据小文母亲描述,自从小文的右上乳门牙掉了以后,恒门牙至今再未曾“露面”。伍栋副主任医师获悉病情后考虑,这颗门牙多半是埋伏阻生了,或者先天缺...

首页 上一页 34567 下一页 尾页

急诊电话:0736-2120120
预约挂号:0736-2120000
咨询电话:0736-2120210
健康体检:0736-2120381
(急诊电话24小时在线、其余电话工作时间在线)

地址:常德市武陵区朗州北路西侧月亮大道

Copyright 2017 - 2018 湘雅常德医院 All Rights Reserved 湘ICP备18010108号

Designed by Wanhu

工业和信息化部ICP/IP地址/域名信息备案管理系统