6月27日,湘雅常德医院通过“儿童友好医院”现场评审,成为常德市首家认证“儿童友好医院”的医疗机构。7月10日,湘雅常德医院又顺利通过“生育友好医院”现场评审,这标志着医院在妇幼健康...
“医者父母心,春风化雨深”、“笑容病痛春风手,化育生机仁者心”——6月26日,84岁的葛爷爷满怀激动,将两面饱含深情的锦旗送到了湘雅常德医院消化内科主任张桂英教授手中,感谢医院消化内...
2025年3月至5月期间,中南大学湘雅医院骨科常德病区连续成功完成两例高难度上颈椎内固定融合手术,分别为一例寰椎骨折(Jefferson骨折)患者和一例寰枢椎脱位患者实施“寰-枢椎...
被称作骨科领域“不死的癌症”——慢性骨髓炎,此病久治不愈,十分痛苦,需多次手术,病情易反复,严重时还会导致肢体组织癌变或肢体功能丧失而截肢。日前,中南大学湘雅医院骨科常德...
为深化区域医疗协作,推动优质医疗资源下沉,5月22日,湘雅常德医院党委书记李波、院长肖目张率医院管理团队及临床专家一行,先后赴慈利县中医医院、慈利县人民医院开展走访交流。 图为...
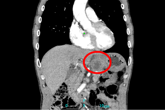
近日,湘雅常德医院普外科廖国庆教授团队成功开展一例多脏器联合切除术,一次性切除近端胃、胰体尾及脾脏,并用“双通道法”为患者重新建立消化系统,解除病灶,提高患者生存质量。  ...
急诊电话:0736-2120120
预约挂号:0736-2120000
咨询电话:0736-2120210
健康体检:0736-2120381
(急诊电话24小时在线、其余电话工作时间在线)