9月22日下午,中南大学湘雅医院与湘雅常德医院篮球友谊赛圆满举行。本次篮球友谊赛旨在丰富两院医务人员的业余文化生活,缓解紧张的工作压力,同时进一步增进中南大学湘雅医院...
近日,湘雅常德医院骨科团队成功为一名38岁右下肢严重开放性损伤的男性患者完成三次高难度手术,不仅保住了濒临截肢的右腿,更使患者在术后40天实现拄拐短距离行走,标志着我院...
自今年2月起,湘雅常德医院骨科积极响应国家关于“进一步改善护理服务,提升患者就医体验”的号召,在全院率先开展“免陪护”照护服务试点工作。截至目前,该服务已累计为近200余位...
9月4日至6日,常德市人民政府征兵办公室组织的各区县应征青年军检复检工作在湘雅常德医院开展。此次复检对象为各区县正在参加役前教育的预定新兵,旨在进一步确保兵源身体素质符合军...
为助力新员工深入了解医院发展历程、文化理念、组织架构及规章制度,快速融入医院工作环境,增强对医院的认同感与归属感。9月2日至4日,湘雅常德医院开展2025年新员工岗前培训。院长肖目...
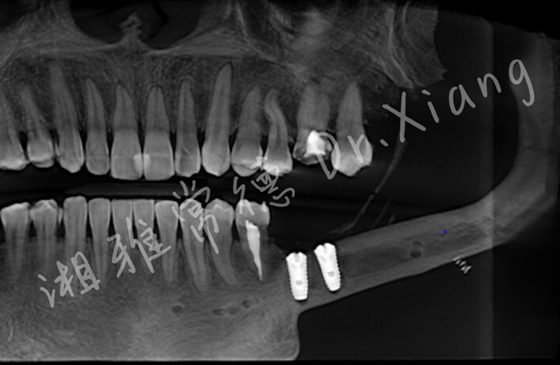
近日,湘雅常德医院口腔科成功实施首例腓骨移植区种植牙手术,标志着我院在口腔颌面外科与种植修复领域取得重大突破。该手术通过多学科协作与数字化精准医疗技术,为一例成釉细...
急诊电话:0736-2120120
预约挂号:0736-2120000
咨询电话:0736-2120210
健康体检:0736-2120381
(急诊电话24小时在线、其余电话工作时间在线)