“都怀孕二十多周了,连续两周每天晚上都觉得肚子绞痛,两周都不敢吃晚饭,多亏医生及时给我做手术,也保住了宝宝。”孕23周的向女士在出院时感慨。近日,湘雅常德医院普外科一区(肝...
近日,湘雅常德医院普外科廖国庆教授团队成功开展一例多脏器联合切除术,一次性切除近端胃、胰体尾及脾脏,并用“双通道法”为患者重新建立消化系统,解除病灶,提高患者生存质量。  ...
近日,湘雅常德医院普外科(乳腺甲状腺专科)接诊了两位慕名而来的外地年轻女性,因体检发现甲状腺结节,外院穿刺提示甲状腺乳头状癌,建议手术治疗,担心颈部会留下疤痕,并强烈要求行美...
“一个2厘米大小的‘钥匙孔’就能同时解决胆囊结石、胆总管结石两个问题,而且不需要携带2-3个月时间长的T管,用超级微创的术式解决病人的疾患,同时保证了病人术后最佳的生活质量”湘雅...
“太不可思议了,只留下这么小的伤口。”日前,接受了单孔腹腔镜左半肝切除、胆囊切除、胆总管切开取石并一期缝合术的吴奶奶,看着腹部仅有的一处约5厘米长的伤口,不禁发出了惊叹。这也是...
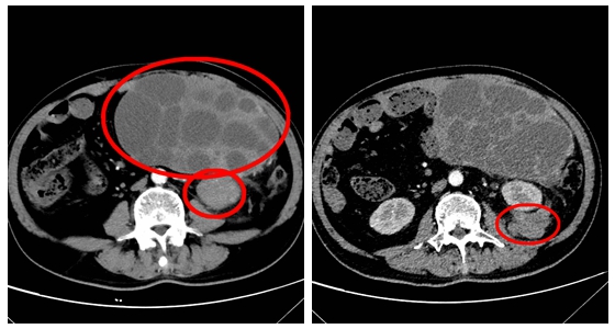
近日,湘雅常德医院普外科成功为一名61岁男性患者实施高难度腹部去分化脂肪肉瘤切除手术。本次手术的成功实施,充分体现了湘雅常德医院在复杂肿瘤诊治方面的综合实力。  ...
急诊电话:0736-2120120
预约挂号:0736-2120000
咨询电话:0736-2120210
健康体检:0736-2120381
(急诊电话24小时在线、其余电话工作时间在线)