欢迎来到湘雅常德医院官网!
  • 微信公众号

  • 支付宝二维码

  • 云闪付二维码

科室导航
信息动态
您现在的位置: 首页>>科室导航>>临床科室>>神经外科>>信息动态
  • TIME:2024-07-24

        “头痛真的太常见了,平常感冒、疲劳也会头痛,所以就没有放在心上,有的时候吃点止痛药也就没事了,要不是一个月前我腿脚都开始无力、看东西也总是看不清,我根本就不会去医院检查,没想...

  • TIME:2024-07-11

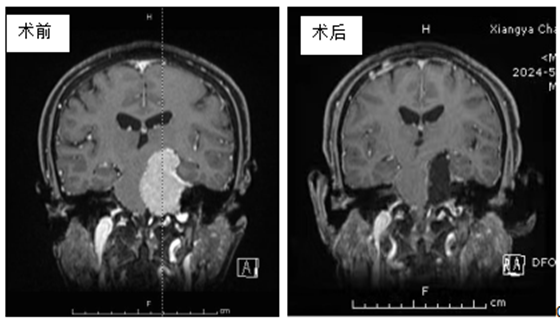
        近日,湘雅常德医院神经外科袁贤瑞主任处理完所有病房患者后,带领医疗组匆匆赶往手术室。这是一台非常特殊、极具挑战性的高难度手术,需要为一位患者切除巨大颅眶沟通性复发脑膜瘤。患...

  • TIME:2024-07-02

        蝶岩斜区脑膜瘤是起源于蝶骨、斜坡和岩尖区的脑膜瘤,因岩斜区位置隐匿,解剖结构复杂,位于颅底中央区,位置深、基底宽、毗邻脑干,周围包绕大血管和多组颅神经包含:动眼神经、滑车神经、...

  • TIME:2024-06-18

        “岩斜区”是一个解剖名词,岩是岩骨,斜是斜坡,该区域位置较深,且结构极为复杂。岩骨和斜坡两块骨头缝里面穿行许多的神经和血管,包括动眼神经、滑车神经、三叉神经、面听神经、后组颅神经...

  • TIME:2024-06-04

        今年72岁的宋奶奶于半年前无明显诱因下出现左侧耳鸣伴听力减退,当时未予重视,3周前耳鸣加重,在当地通过头颅MRI检查,竟然发现了宋奶奶颅内左侧桥小脑角区见一团块状占位性病变,约...

  • TIME:2024-05-28

       67岁的林阿姨,最近两个多月反复头疼头晕,由于自身觉得不影响日常生活,所以没重视,直到不久前症状加重才在家人推荐下,来到湘雅常德医院神经外科就诊,经头颅磁共振检查发现,大脑右侧...

首页 上一页 12345 下一页 尾页

急诊电话:0736-2120120
预约挂号:0736-2120000
咨询电话:0736-2120210
健康体检:0736-2120381
(急诊电话24小时在线、其余电话工作时间在线)

地址:常德市武陵区朗州北路西侧月亮大道

Copyright 2017 - 2018 湘雅常德医院 All Rights Reserved 湘ICP备18010108号

Designed by Wanhu

工业和信息化部ICP/IP地址/域名信息备案管理系统