说起矢状窦旁脑膜瘤,很多人可能不知道。但有人做了这样一个比喻,矢状窦旁脑膜瘤就像长在脑袋里的“马蜂窝”,不捅它,可能暂时没事,一捅它就存在多种风险。 近日,5...
近日,湘雅常德医院神经外科团队再次为一名患者成功实施一例经典颅底大手术:巨大右侧桥小脑角肿瘤切除术+脑脊液漏修补术。手术效果良好,患者听力及吞咽功能保留,目前该患者已顺利康...
63岁的雷女士近期总感觉右下肢肢体无力,偶有麻木、“针刺”感。细心的女儿也发现母亲变得不爱说话、反应明显迟钝、健忘,但家属和本人均未引起重视,以为可能就是“老年痴呆”。 &nbs...
近日,湘雅常德医院神经外科在袁贤瑞教授和张梨副主任医师的带领下成功开展了一例桥小脑角区巨大脑膜瘤切除术。 近年来,朱阿姨的耳边持续性出现“嗡……嗡……...
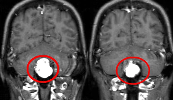
13岁的涵涵身高仅有145cm,体重37kg,比同班的男孩,甚至女孩都要矮小。起初,爸爸妈妈也没有太在意,以为孩子就是“长得晚”。2023年5月份开始,涵涵偶尔会跟爸爸妈妈说自己视物模糊,看不...
大脑是人体的司令部,掌管着全身的所有活动,脑干则是其中的生命中枢,其中延髓是人脑干最下部与脊髓相连的部分,上接脑桥,控制人的呼吸、血压,被医学界称为“生命禁区”。近日,湘雅常德...
急诊电话:0736-2120120
预约挂号:0736-2120000
咨询电话:0736-2120210
健康体检:0736-2120381
(急诊电话24小时在线、其余电话工作时间在线)