“没有任何犹豫,没有考虑其他任何医院,第一时间就选择你们湘雅常德医院,选择袁教授,果然你们团队没有让我失望,实在是万分感谢!”在办理出院手续时的胡女士激动地对护士说道。 &nbs...
近日,湘雅常德医院神经外科袁贤瑞教授团队为一例三叉神经鞘瘤患者实施行开颅颅底肿瘤切除术,切除了长达13年之久的三叉神经鞘瘤,肿瘤长达3厘米。术后患者面颊部麻木、疼痛等症状消失,目前恢复良好...
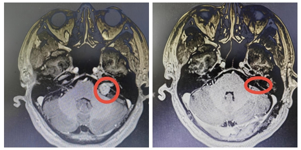
近日,来自甘肃的刘女士因四月前出现右脸麻木辗转北京上海多地求医,得到的结果是:肿瘤全切很难,特别是复发的听神经瘤,而且很大程度会面瘫。刘女士才四十多岁,不想后半生生活质量下...
“我在备考神经外科副主任医师时,看见袁贤瑞教授主编的关于听神经瘤的书籍,我就坚定了要找袁教授动手术的决心!”既是神经外科医生又是听神经瘤患者的曹先生说道。 &nb...
近日,70岁的广东省朱大爷在湘雅常德医院接受了听神经瘤切除手术,这是医院自建院以来,神经外科全国知名教授、湘雅常德医院神经外科主任袁贤瑞为第200位患者成功实施的听神经瘤全切...
近日,湘雅常德医院神经外科袁贤瑞教授团队为一位身患13种基础疾病的七旬老人成功实施颅内病灶切除术+脑脊液瘘修补术,切除了3厘米大小的脑膜瘤,同时三叉神经、面神经、蜗神经...
急诊电话:0736-2120120
预约挂号:0736-2120000
咨询电话:0736-2120210
健康体检:0736-2120381
(急诊电话24小时在线、其余电话工作时间在线)