近日,湘雅常德医院口腔颌面外科团队成功为一位在外院因“拔牙”造成颌骨缺损的患者实施了游离髂骨重建颌骨的种植手术。种植体顺利的植入为其后续的缺牙修复和最终恢复咀嚼功能与面部...
9月1日上午,9岁的乐乐玩耍时不慎摔倒,导致门牙折断。家长当时未找到脱落牙冠,辗转多家医院及口腔机构均无果,后经朋友推荐,下午才带孩子来到湘雅常德医院口腔科求助。  ...
近日,85岁高龄的蔡老先生在向峰医师种植团队的努力下,成功接受了5颗种植牙手术,再次刷新了本院高年龄种植患者的记录。 蔡老先生年事已高,牙齿大部分脱落,长期以来只...
近日,湘雅常德医院口腔科成功实施首例腓骨移植区种植牙手术,标志着我院在口腔颌面外科与种植修复领域取得重大突破。该手术通过多学科协作与数字化精准医疗技术,为一例成釉细...
7月11日-13日由湖南省口腔医学会主办、中南大学湘雅医院口腔医学中心承办的“湖南省口腔医学会2025年学术年会”在长沙隆重召开。湘雅常德医院口腔科主任伍栋、护士长陈杨率科室...
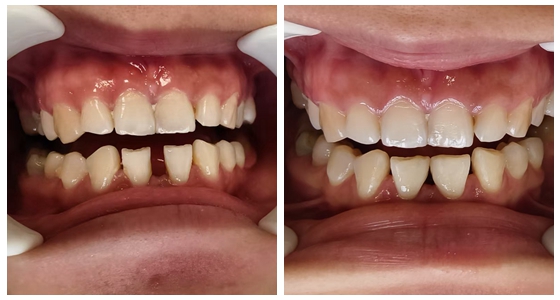
近日,28岁的陈女士,因下门牙“漏风”影响美观和说话,来到湘雅常德医院口腔科就诊。陈女士平时不敢大笑,又因预算和时间关系一直未找到满意的治疗方案。她抱着再试试、多方打听的想法,在...
急诊电话:0736-2120120
预约挂号:0736-2120000
咨询电话:0736-2120210
健康体检:0736-2120381
(急诊电话24小时在线、其余电话工作时间在线)